【岡山市】
信頼できる
矯正歯科が見つかる
マウスピース矯正ナビ
岡山でマウスピース矯正を検討中の方へ。
「目立たない矯正がしたい」「費用や期間が気になる」「信頼できる歯医者を選びたい」——
そんなあなたのために、岡山で厳選されたマウスピース矯正対応クリニックをご紹介します。
あなたにぴったりの矯正歯科が、きっと見つかります。
岡山でマウスピース矯正を検討中の方へ。
「目立たない矯正がしたい」「費用や期間が気になる」「信頼できる歯医者を選びたい」——
そんなあなたのために、岡山で厳選されたマウスピース矯正対応クリニックをご紹介します。
あなたにぴったりの矯正歯科が、きっと見つかります。

大前 正範 理事長
インビザラインGO プラチナ取得(※1)
すきっ歯や前歯のねじれなど
インビザラインGo実績が
岡山県でNo.1!(※1)
※駐車場併設

本城 正 理事長
日本矯正歯科学会認定医・指導医
矯正歯科に精通した医師(※2)が
抜歯症例や出っ歯などの
難症例にも対応
※近隣のパーキング利用
(1時間補助あり)

中野 浩輔 院長
インビザライン認定医
6~12歳の混合歯列期の
マウスピース矯正をしてくれる
※駐車場併設
※1 2022年度プラチナムインビザラインGO受賞|インビザライン・ジャパン調べ|参照元:キレイハ岡山院公式HP(https://www.kireiha.website/mouthpiece/)
※2 日本矯正歯科学会指導医保有していることを当メディアでは「精通」と定義|参照元:日本矯正歯科学会公式HP(https://www.jos.gr.jp/page/4?post_type=roster&s&member_area_code=33&pref=6)
※1 2022年度プラチナムインビザラインGO受賞|インビザライン・ジャパン調べ|参照元:キレイハ岡山院公式HP(https://www.kireiha.website/mouthpiece/)

院長は、部分矯正「インビザラインGo」の症例数とクオリティーが評価され、販売元のインビザライン・ジャパンより全国top100、岡山県でNo.1に選ばれたドクター(※)です。インビザラインGoとは軽度な矯正に向いた治療方法で、全ての歯が対象の全顎矯正と比べて、治療費と期間を抑えることができます。
キレイハ岡山院なら、経験豊富な院長が治療計画を立てるため、理想の歯並びに近づけるでしょう。

キレイハ岡山院は、「手軽に、早く、きれいになる」をコンセプトに、できるだけ早く歯並びを整えたい方にも親身になって治療を提供しています。
これまでの経験を踏まえて、実績を重視するならインビザラインGo、コストを抑えたいならSmarteeなど、歯の状況や要望に合わせて早く歯並びを整えられる治療法を提案。
新しいマウスピースに交換するタイミングを見計らいながら、短期間で理想の歯並びに近づけるよう、寄り添ってくれます。
| マウスピース矯正(インビザライン・Smartee) |
|
|---|
| リテーナー |
|
|---|
※すべて税込み
※参考価格は、あくまでも公式HP掲載の費用を元に検査・診断料・通院ごとの調整料は含まずに算出した金額です。
実際の価格とは異なる場合がございますので、詳しい見積はクリニックにご相談ください。


「ガタガタしている歯並びを矯正したい」ということで治療を行った、20代女性の事例です。上下顎前歯部が顎に入りきらず、重なり合ってデコボコになっていたため、前歯の部分矯正「インビザラインGo」で矯正しています。
| 治療費 | 550,000円(税込) |
|---|
| 副作用 | 予定通り歯が動かないことや、歯を少し削って調整する場合があります。また、歯の移動に伴い歯肉が退縮することがあります。 |
|---|
| 期間 | 8か月 |
|---|
| 治療費 | 550,000円(税込) |
|---|
| 期間 | 8か月 |
|---|
| 副作用 | 予定通り歯が動かないことや、歯を少し削って調整する場合があります。また、歯の移動に伴い歯肉が退縮することがあります。 |
|---|

いつも丁寧に治療してもらっています!
先生も歯科衛生士さんもとても親切で丁寧に処置してくださります。説明も一つ一つ丁寧で、建物内もとても綺麗です。

いつも丁寧な説明をしながら治療してくださるので安心して通えています。
市内中心部にありながら、医院前に駐車場があるのも有り難い!(後略)

LINEアプリで予約や確認ができるのでとても便利です。治療も丁寧でした。
車移動が中心の岡山市でも通いやすい環境が整っており、忙しい中でも無理なく通院できるとの声が多数。
段階ごとに分けられた費用設定なども踏まえ、1~2本の歯並びに悩みながらも矯正に踏み出せずにいた方にとって、気軽に相談・治療を始められる安心感が評価されています。
院長の大前先生は、患者さんに寄り添った治療をモットーにしています。医師の中には完璧な歯並びを目指す方も多いですが、大前先生はあくまで、患者さんの気持ちを優先。患者さん自身が全ての歯を治療するよりも、費用や期間を考慮して気になる部分だけ治療したいのであれば、否定することはありません。
歯科医師としての豊富な経験を持ち合わせた、相談しやすい先生です。
| 所在地 | 岡山県岡山市北区駅前町1-10-23 アーバンパレス駅前町102 |
|---|---|
| アクセス | JR「岡山駅」より徒歩6分 |
| 休診日 | 水・日・祝 |
| 駐車場 | あり(2台) |
| 問い合わせTEL | 086-230-0781 |
| 公式HP | https://www.kireiha.website/ |
| 月 | 火 | 水 | 木 | 金 | 土 | 日 | |
|---|---|---|---|---|---|---|---|
| 9:30~13:00 | ● | ● | - | ● | ● | ● | - |
| 14:30~17:30 | ● | ● | - | ● | ● | ● | - |
※2 日本矯正歯科学会指導医保有|参照元:日本矯正歯科学会公式HP(https://www.jos.gr.jp/page/4?post_type=roster&s&member_area_code=33&pref=6)

田中矯正歯科医院には、学会の最も厳しい基準をクリアしたことを証明する資格「日本矯正歯科学会指導医」をもつ矯正治療のエキスパートが在籍。
そんなドクターが治療計画の作成から実際の治療まで直接担当してくれるため、抜歯を伴うケースや出っ歯等、他院で断られるような難症例でも的確な矯正計画を提案してもらえます。

田中歯科矯正歯科は、矯正専門の歯科医院であり、矯正を専門とする医師が在籍。その中でも院長は、大学卒業以来、20年以上矯正治療に携わっています。
上下顎骨が前後左右にずれている・傾いてるなど、骨格の不調和により必要となる外科的矯正治療の経験が豊富にあります。ただ歯並びを整えるだけではなく、安定したかみ合わせや顔つきの改善をサポートしてくれるでしょう。
| 初診相談 | 無料 |
|---|
| 検査料 | 33,000円 |
|---|
| 診断料 | 16,500円 |
|---|
| 処置料 | 3,300~5,500円 |
|---|
| 大人の矯正(Ⅱ期治療) | 770,000~1,320,000円 |
|---|
※すべて税込み
※参考価格は、あくまでも公式HP掲載の費用を元に検査・診断料・通院ごとの調整料は含まずに算出した金額です。
実際の価格とは異なる場合がございますので、詳しい見積はクリニックにご相談ください。


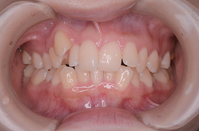
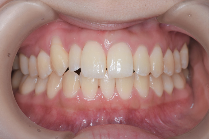
上下顎のガタガタが気になり、来院された20代女性の事例。抜歯を伴うマウスピース矯正で治療しています。
横顔が悪くないことから前歯の位置は抜歯をせずに調整。顎の骨や歯肉の中に埋まって出ていない親知らずと、下顎の中央に近い右下の歯を抜歯していただきました。
| 治療費 | 800,000円後半 |
|---|
| 副作用 | 前歯の歯根吸収、前歯部の歯肉退縮やブラックトライアングルが生じる可能性があります。また顎間ゴムによる顎関節症が生じる場合があります。 |
|---|
| 期間 | 約3年 |
|---|
| 治療費 | 800,000円後半 |
|---|
| 期間 | 約3年 |
|---|
| 副作用 | 前歯の歯根吸収、前歯部の歯肉退縮やブラックトライアングルが生じる可能性があります。また顎間ゴムによる顎関節症が生じる場合があります。 |
|---|

先生の丁寧な説明に好印象をもちました!
カウンセリングや通院時に先生が丁寧に説明して下さり、リラックスして通えました。歯科衛生士さん方も優しかったです。予約もスムーズにとれますし、待ち時間もなくよかったです。(後略)

私は出っ歯矯正のため通院し始め、ワイヤー矯正2年を終え、今はマウスピースをつけています。(中略)
しかし、田中矯正歯科はネットで書いてあるような怖い感じの出来事は特に起こらず、順調に矯正を進めることができました。
受付の方も丁寧で落ち着いて診察できると思います。かなりおすすめです。

八重歯と下の歯のガタガタが気になりマウスピース矯正をしました。矯正開始前に何を聞いても丁寧に分かりやすく教えていただき、安心して始めることが出来ました。治療中も逐一気になることがないか聞いて下さり、自分の理想や気になることを伝えることができました。(後略)
丁寧な説明と穏やかな対応が口コミで多く語られ、治療への不安を安心に変えてくれる医院だとわかります。落ち着いた雰囲気の中で、疑問に向き合ってくれる姿勢が信頼につながっているようです。
医師の資格や実績からも、抜歯や手術が必要になる矯正治療でも任せられるでしょう。
理事長の本城 正先生は、20年以上矯正治療に携わり、一般矯正から生まれたときから歯の数が足りていない先天性欠損、外科的矯正治療など様々な症例を経験。豊富な経験をもとに患者さん1人1人に合った治療の提供を目指しており、そのための設備も充実させています。
また、コミュニケーションも重視し、患者さんとしっかり向き合い、悩みや要望をヒアリングすることも心がけています。
| 所在地 | 岡山県岡山市北区本町6-36 第1セントラル6F |
|---|---|
| アクセス | JR「岡山駅」東出口より徒歩すぐ |
| 休診日 | 水 |
| 駐車場 | 有料駐車場あり(1時間サービス券あり) |
| 問い合わせTEL | 086-223-6922 |
| 公式HP | https://tanaka-kyousei.com/ |
| 月 | 火 | 水 | 木 | 金 | 土 | 日 | |
|---|---|---|---|---|---|---|---|
| 10:30~13:00 | ● | ● | - | ● | ● | ▲ | ▲ |
| 14:30~19:00 | ● | ● | - | ● | ● | ▲ | ▲ |

なかの歯科・矯正歯科クリニックでは、乳歯と永久歯が混在する混合歯列期のお子様に、透明で目立たないマウスピース「インビザラインファースト」を使った治療ができます。
一般的な小児矯正は2~4年となりますが、インビザラインファーストであれば約9か月で矯正でき、お子様の負担を減らすことができます。

子どもの歯科矯正は大人の歯科矯正と目的も治療法も大きく異なるもの。なかの歯科・矯正歯科クリニックでは、現在の歯とこれから生えてくる歯の様子を鑑み、時には今すぐ矯正しないことも選択肢として入れながら適切なタイミングで治療を行います。
一人一人に合わせた治療法やスケジュールで、見た目だけではなく子どもの健康に関わる大事な歯を守ります。
| 診査・診断 | 5,500円 |
|---|
| 子どもの噛み合わせ育成(咬合誘導) | 352,000円 |
|---|
| 7~8歳(インビザライン・ファースト対応/ 1年半契約) |
660,000円 |
|---|
| 9~12歳(インビザライン・フル対応/ 3年契約) |
825,000円 |
|---|
※すべて税込み
※参考価格は、あくまでも公式HP掲載の費用を元に検査・診断料・通院ごとの調整料は含まずに算出した金額です。
実際の価格とは異なる場合がございますので、詳しい見積はクリニックにご相談ください。
公式HPに医療広告ガイドラインに則ったマウスピース矯正の症例実績の記載がありませんでした。

患者のことを考えて治療を提案してくれるクリニックです。丁寧な説明で分かりやすいです。
子どもの治療もとても優しく対応してくれ、一つ一つ見せたり説明したりしながら進めてくれるので子どもも嫌がることなく通えています。何より先生の優しさに感動しました。

受診に際してはネット予約が可能で大変便利です。
初診時は、治療内容の希望等の丁寧ながあり、治療計画書により説明があり安心して治療が受けられます。(後略)

歯科へ通うことが苦手でしが、こちらの医院のホームページを拝見し、お願いしたいと思い伺いました。
皆さんとても親切、丁寧に対応下さいました。治療計画も時間をかけて説明してくださり安心しました。(後略)
子どもにも丁寧に寄り添い、優しく対応してくれる点が口コミで好評です。治療方針も時間をかけて説明してくれるので、マウスピース矯正に不安がある親御さんも安心。
将来を見据えた提案やこちらの話をしっかり聞いてくれる姿勢から、大切な子どもの矯正を任せたいと思える医院です。
「待たせない・痛くしない・よく聞く」の3つをスローガンとして掲げ、患者さんに素敵な笑顔になってもらうことを治療の方針としています。
初診時には院長自ら、患者さんへ直接カウンセリングを実施。個室のカウンセリングルームで周囲を気にせず、歯並びに関するお悩みを何でも相談することができます。
| 所在地 | 岡山県岡山市北区矢坂東町6-1 |
|---|---|
| アクセス | 中鉄バス180号線「平津橋」を下車後、 徒歩約5~8分 |
| 休診日 | 日・祝 |
| 駐車場 | あり(32台) |
| 問い合わせTEL | 086-256-4618 |
| 公式HP | https://nakanodent.com/ |
| 月 | 火 | 水 | 木 | 金 | 土 | 日 | |
|---|---|---|---|---|---|---|---|
| 9:30~13:00 | ● | ● | ● | ● | ● | ● | - |
| 14:00~18:00 | ● | ● | ★ | ● | ● | ▲ | - |
費用と期間が必要になるマウスピース矯正。理想の歯並びになるために、事前に知っておきたい基本的な情報をまとめました。矯正がスタートしてから後悔しないように、事前に確認しておきましょう。
岡山市内でマウスピース矯正を扱う歯科医院を調査し、一覧にまとめました。基本情報に加え、アクセス方法や費用についてもまとめているので、ぜひ参考にして下さい。
JR岡山駅から徒歩6分のキレイハ岡山院は、カフェのような明るい待合室が特徴的なクリニック。「"キレイにしたい"を叶える歯医者」をスローガンに、歯列矯正やホワイトニング等を得意としています。アイライナーシステム・Smarteeによるマウスピース矯正は、少ない枚数で奥⻭の矯正治療にも対応でき、短い治療期間で費用も抑えることができます。
| 所在地 | 岡山県岡山市北区駅前町1-10-23 アーバンパレス駅前町102 |
|---|---|
| アクセス | JR「岡山」駅より徒歩6分(最寄り駅:岡山駅、西川緑道公園駅、柳川駅) |
| マウスピース矯正の費用 | ・軽度(片顎):330,000~440,000円 (税込) ・軽度~中度:440,000~660,000円(税込) ・中度:660,000~990,000円 (税込) |
| 問い合わせ TEL |
086-230-0781 |
| 診療時間 | 09:30~13:00/14:30~17:30(日曜・祝日) |
| 公式サイト URL |
https://www.kireiha.website/ |
マウスピース矯正では、「インビザライン」「アソアライナー」「Tアライナー」という3つのメーカーのなかから選んで治療を受けることができます。アソアライナーは日本製なので、マウスピースが10~14日程度で製作できるため、治療を早く始めたいかたに向いています。「お口全体のバランス」を考えた総合的な歯科治療を行ってくれる歯科医院です。
| 所在地 | 岡山県岡山市北区表町1-5-1 岡山シンフォニービル2F |
|---|---|
| アクセス | 「城下駅」より徒歩1分、「岡山駅」より徒歩10分 |
| マウスピース矯正の費用 | 成人矯正(全顎) ・マルチ+マウスピース矯正:990,000円~(税込) ・インビザライン:770,000円~935,000円(税込) 成人矯正(部分) ・インビザライン:220,000円~660,000円(税込) |
| 問い合わせ TEL |
086-234-5255 |
| 診療時間 | 月曜・火曜・木曜・金曜:9:30~13:00、14:00~18:00、水曜:9:30~12:00、14:30~19:00、土曜:9:00〜17:00(休診日:日曜・祝日) |
| 公式サイト URL |
https://m-dental.net/ |
かなお矯正・小児歯科クリニックの矯正治療のコンセプトは、「早期発見・適切な時期に治療」です。子どもが通いたくなるような歯医者さんを目指して、カラフルな建物や遊具のあるキッズスペースなどさまざまな工夫がされています。子どもが矯正するタイミングを逃さず手遅れにならないうちに治療していくことを重要視しているクリニックです。
| 所在地 | 岡山県岡山市北区田益1296-1 |
|---|---|
| アクセス | 山陽道岡山ICから降りてすぐ、岡山医療センターから70m |
| マウスピース矯正の費用 | インビザライン):99万円~121万円(税込) |
| 問い合わせ TEL |
086-294-6480 |
| 診療時間 | 月曜・火曜・水曜・金曜:9:30~12:30、14:30~18:00、土曜:9:30~12:30、14:30~17:00(休診日:木曜・日曜・祝日) |
| 公式サイト URL |
https://okayama-align-kyousei.com/ |
年間症例150件以上のダイヤモンドプロバイダー認定ドクターによるインビザラインの矯正治療を行っています。咬み合わせ認定医でもある院長が、歯並びだけでなく機能性の改善も行います。また小児矯正でもインビザライン・ファースト(6~10歳)による小児矯正の治療も行っています。一口腔一単位(いちこうくういちたんい)の治療、ひとりひとりのお口全体の健康維持を目指した治療を行うクリニックです。
| 所在地 | 岡山県岡山市北区国体町1-11 |
|---|---|
| アクセス | JR「岡山駅」西口より徒歩9分 |
| マウスピース矯正の費用 | ・アソアライナー矯正治療:220,000円~715,000円+調整料3,300円(税込) ・インビザライン矯正治療:792,000円+調整料5,500円(税込) |
| 問い合わせ TEL |
086-251-6480 |
| 診療時間 | 月曜~金曜:9:30~13:30、15:00~19:00、土曜:9:30~13:30、14:30~17:00(休診日:日曜・祝日) |
| 公式サイト URL |
https://fujioka-dc.jp/kyousei |
インビザラインの症例はグループ全体で2,446症例(2020~2024年)という実績を持ち、インビザラインブラックダイヤモンドプロバイダーを持つ理事長など矯正専門医が治療を行います。希望があれば矯正治療と並行してホワイトニングの施術も受けることができます。土日診療も可能で、マウスピース型の装置を使って治療を行う小児ZERO矯正(MRC)も受けられます。
| 所在地 | 岡山県岡山市北区下石井2-10-8 杜の街プラザ5F |
|---|---|
| アクセス | JR山陽本線「岡山駅」より徒歩約10分 |
| マウスピース矯正の費用 | インビザライン)396,000円~716,000円(税込) |
| 問い合わせ TEL |
086-230-0788 |
| 診療時間 | 月曜・火曜・水曜・金曜:9:00~18:30、土曜・日曜:9:00~17:00(休診日:木曜・祝日) |
| 公式サイト URL |
https://okayama-kyosei.jp/ |
インビザラインによるマウスピース矯正を中心に、さまざまな歯列矯正治療が受けられる矯正歯科クリニックです。矯正歯科専門サイト内には、中野院長みずからマウスピース矯正などについて解説するYouTube動画が多数掲載されています。近赤外線を毎日10分照射するスピード矯正が行える加速装置「オーソパルス」や、毎日就寝前に10分間、歯に振動を与える加速装置「オーソパワー」などの治療法も用意されています。
| 所在地 | 岡山県岡山市北区矢坂東町6-1 |
|---|---|
| アクセス | 中鉄バス180号線「平津橋」より徒歩約5~8分 |
| マウスピース矯正の費用 | ・インビザライン・コンプリヘンシブ(3年契約):858,000円(税込) ・インビザライン・モデレート(2年契約):770,000円(税込) ・インビザライン・ライト(1年契約):440,000円(税込) ・インビザライン・パーシャルiGO(2年契約):550,000円(税込) ・7~8歳(インビザライン・ファースト対応)(1年半契約)660,000円(税込) ・9~12歳(インビザライン・フル対応)(3年契約)825,000円(税込) ・インビザライン1期から2期対応(3年契約)330,000円(税込)追加 |
| 問い合わせ TEL |
086-256-4618 |
| 診療時間 | 月曜・火曜・木曜・金曜:9:30~12:30、14:00~17:30、水曜:9:30~12:30、14:30~18:30、土曜:9:30~12:30、14:00~16:30(休診日:日曜・祝日) |
| 公式サイト URL |
https://www.kyousei-smile.com/ |
外科的矯正治療の実績を多数有する日本矯正歯科学会認定医が院長をつとめる矯正専門の歯科医院です。インビザラインなど矯正治療の診断を正確なものにするため、3Dプリンターや口腔内スキャナーなど高機能な設備も完備。治療イメージの見える化を図り、患者さんにわかりやすく説明することを大切にしています。JR岡山駅東出口からすぐとアクセスが良く、土日にも診療が受けられます。
| 所在地 | 岡山県岡山市北区本町6-36 第1セントラル6F |
|---|---|
| アクセス | JR「岡山駅」東出口より徒歩すぐ |
| マウスピース矯正の費用 | 大人の矯正(Ⅱ期治療)770,000~1,320,000円(税込) |
| 問い合わせ TEL |
086-223-6922 |
| 診療時間 | 月曜・火曜・金曜:10:30~13:00、14:30~19:00、土曜・日曜:9:30~12:30、14:00~18:00(休診日:水曜・木曜・祝日) |
| 公式サイト URL |
https://tanaka-kyousei.com/ |
子どもから大人まで幅広い年代層の矯正治療に対応している歯科クリニックです。マウスピース矯正では、インビザラインによる治療を行います。3D口腔スキャナー「iTero(アイテロ)」の導入により、スピーディかつ正確に口腔内をスキャンしてマウスピースを作ります。ほかにワイヤー矯正やプレオルソなど、個々の状態に応じて最適な矯正治療を選択。歯並びの悩みがあれば、いつでも相談に乗ってくれます。
| 所在地 | 岡山県岡山市北区大元1-11-1 |
|---|---|
| アクセス | JR「瀬戸大橋線大元駅」より徒歩約10分、岡電バス「宗忠神社前バス停」より徒歩約2分 |
| マウスピース矯正の費用 | 要確認(詳細は公式サイトで) ・全顎マウスピース矯正(インビザライン):792,000円~(税込) ・部分マウスピース矯正(インビザライン):231,000円~451,000円(税込) |
| 問い合わせ TEL |
086-250-1926 |
| 診療時間 | 平日:9:30~11:45、14:00~17:45土曜:9:30~16:30(木曜・日曜・祝日) |
| 公式サイト URL |
https://www.kitahara-dental.jp/ |
大人のマウスピース矯正はインビザラインによる治療、子どものマウスピース矯正では、ムーシールド(3~4歳頃から)による治療を行っています。子どもの矯正治療は初期治療と本格治療の二段階で行い、子どもへの負担や治療費用の軽減につなげています。矯正歯科治療を始める前に患者さんが目指すゴールを確認、口腔内だけでなく顔貌への影響を記録するなどして、現状を的確に把握するための検査を行って治療方針を決めています。
| 所在地 | 岡山県岡山市北区奥田1-8-19 |
|---|---|
| アクセス | 岡電バス「岡南営業所」より徒歩30秒 |
| マウスピース矯正の費用 | インビザライン990,000円(税込) |
| 問い合わせ TEL |
086-238-8778 |
| 診療時間 | 月曜・火曜・水曜・金曜・土曜:9:30~14:00、15:00~18:00(休診日:木曜・日曜・祝日) |
| 公式サイト URL |
https://www.welcome-d.com/ |
マウスピース矯正では、インビザラインの治療が受けられます。医師やスタッフにインビザラインでの矯正経験者が多いことから、実際にどのような治療経過だったかなど、具体的なアドバイスがもらえます。年間症例数150以上のダイヤモンドプロバイダーの資格を持つ医師が在籍しているので、安心して治療を任せることができます。来院時には必要に応じて無料で矯正治療中に汚れが付きがちな歯のクリーニングもしてくれます。
| 所在地 | 岡山県岡山市北区表町1-9-64 |
|---|---|
| アクセス | 岡山電気軌道「城下駅」または「県庁通り駅」より徒歩4分 |
| マウスピース矯正の費用 | ・Ⅰ期治療:330,000円(税込) ・Ⅱ期治療:350,000円(税込) ・MTM:478,000円(税込) ・全額矯正:828,000円(税込) |
| 問い合わせ TEL |
086-234-5067 |
| 診療時間 | 月曜・火曜・水曜・金曜:9:30~13:00、14:30~19:00、土曜:9:30~13:00、14:30~17:00(休診日:日曜・祝日) |
| 公式サイト URL |
https://invisa-grandental.jp/ |
1977年に岡山県内で初めて、矯正歯科の専門歯科として開業したじんの矯正歯科。歯並びを整えるだけでなく、口元も美しく変化させてしっかり咬めるようにすることを目的とした治療を行っています。インビザラインを使ったマウスピース型矯正装置を推奨していますが、公式サイト内では適用できるケースとできないケースがあることや、メリットだけでなくデメリットについても説明しています。
| 所在地 | 岡山県岡山市北区野田屋町1-7-17 千代田生命ビル3F |
|---|---|
| アクセス | JR「岡山駅」東口より徒歩5分 |
| マウスピース矯正の費用 | インビザライン770,000円~990,000円(税込) |
| 問い合わせ TEL |
086-222-7822 |
| 診療時間 | 月曜・火曜・水曜・金曜・土曜:9:30~12:00、13:30~19:00(休診日:木曜・日曜・祝日) |
| 公式サイト URL |
https://www.kyoseishika.jp/ |
金山デンタルクリニックは矯正歯科だけでなく、一般歯科、小児歯科、歯科口腔外科なども診療する総合歯科です。マウスピース矯正には2種類のインビザライン(コンプリヘンシブパッケージとGoシステム)が用意されています。小児矯正では、早いタイミングで成人期の歯列不正を予測して、マウスピースだけでなく拡大床装置やワイヤーなど患者の状態に合わせて治療法を選択していきます。
| 所在地 | 岡山県岡山市北区辰巳23−106 |
|---|---|
| アクセス | 山陽本線「北長瀬駅」より徒歩15分、タクシーで6分、岡電バス「辰巳西停留所」より徒歩1分 |
| マウスピース矯正の費用 | コンプリヘンシブパッケージ880,000円~1,100,000円(税込)、Goシステム440,000円(税込) |
| 問い合わせ TEL |
086-236-8249 |
| 診療時間 | 月曜・火曜・水曜・金曜:9:00~12:30、14:30~18:30、土曜:9:00~12:00、13:30~16:30(休診日:木曜・日曜・祝日) |
| 公式サイト URL |
https://kanayama-dent.com/ |
矯正歯科をメインに、顎関節症や咬み合わせなども診てくれる矯正歯科クリニックです。小児歯科では一般歯科だけでなく、歯列矯正や予防歯科に力を入れています。なんば矯正歯科クリニックでは、歯列矯正治療は見た目をきれいにするだけでなく、体全体の健康維持になくてはならない治療であるという考えのもと、患者の状態を見極め、インビザライン治療やワイヤー矯正といった治療法を選択していきます。
| 所在地 | 岡山県岡山市北区伊福町4-5-18 |
|---|---|
| アクセス | JR「岡山駅」西口より 徒歩18分、「岡電バス」、「中鉄バス」、「岡工口」 より下車徒歩2分 |
| マウスピース矯正の費用 | 全顎矯正治療費880,000円~(税込)、部分矯正治療費550,000円~(税込) |
| 問い合わせ TEL |
086-214-6480 |
| 診療時間 | 月曜・火曜・木曜・金曜:9:00~12:30、14:00~18:30、土曜:9:00~12:30、14:00~17:30(休診日:水曜・日曜・祝日) |
| 公式サイト URL |
https://nanba-shika.com/ |
1919年に創業して以来、4代・100年以上続くきたむら歯科医院。親子4代で通院している患者がいるほど地元に愛され信用されている歯科医院です。矯正治療だけでなく、一般歯科や審美治療、予防歯科など総合的な治療に対応しています。インビザラインによる矯正治療のほか、マルチブラケット矯正、部分矯正、裏側矯正など、個々の状態に合わせて治療を行います。
| 所在地 | 岡山県岡山市南区三浜町2-18-20 |
|---|---|
| アクセス | 岡山電気軌道「機工センター口」バス停より徒歩約1分 |
| マウスピース矯正の費用 | ・成人矯正治療(アライナー):990,000円(税込) ・部分矯正(アライナー):440,000円~660,000円(税込) |
| 問い合わせ TEL |
086-262-0402 |
| 診療時間 | 月曜~土曜:9:00~13:00、14:00~18:00(日曜・祝日) |
| 公式サイト URL |
https://www.kimura-shika.jp/ |
岡山大学病院でインプラントや顎関節症などの補綴(ほてつ)治療を専門にしてきた川上院長は、地域住民のお口の健康管理を生涯にわたり安心して任せられるクリニックを目指して開院。ホームドクターとして、小さな子どもから高齢者まで幅広い患者を治療しています。矯正治療はインビザラインを用いたマウスピース治療を子どもから大人まで対応しています。
| 所在地 | 岡山県岡山市南区築港新町1-17-15 |
|---|---|
| アクセス | 岡電バス・両備バス「築港新町バス停」より徒歩1分 |
| マウスピース矯正の費用 | ・インビザライン・コンプリヘンシブ:847,000円(税込) ・インビザライン・モデレート:638,000円(税込) ・インビザライン・ライト:473,000円(税込) |
| 問い合わせ TEL |
086-250-5001 |
| 診療時間 | 月曜・火曜・水曜・金曜:9:00~13:00、14:30~18:30、土曜:9:00~13:00、14:30~17:30(休診日:木曜・日曜・祝日) |
| 公式サイト URL |
https://www.okayama-southdc.com/ |
小児歯科と小児矯正を中心とした治療を行う歯科医院です。まだ歯が生えていない赤ちゃんを診る「ベビー科」もあります。小児矯正に関しては、定期的に「子ども歯並び説明会」を開催。マウスピース型矯正装置を用いた小児矯正治療が3歳くらいから受けられます。保護者と一緒に毎日2分階の口元トレーニング、月に一回は歯科医院でトレーニングすることにより、矯正効果を高めています。
| 所在地 | 岡山県岡山市中区倉田508-21 |
|---|---|
| アクセス | 倉田交差点近く |
| マウスピース矯正の費用 | 公式サイトに記載がありませんでした |
| 問い合わせ TEL |
086-238-4618 |
| 診療時間 | 9:00~12:30、14:00~18:00(木曜・日曜・祝日) |
| 公式サイト URL |
https://www.okayamays.com/ |
一般歯科からマウスピース矯正、審美歯科まで口腔内の治療を複合的に行ってくれる歯科医院グラン岡山歯科・矯正歯科。「咬み合わせ認定医」の清水院長は、咬み合わせのプロフェッショナルです。インビザラインによるマウスピース矯正では、前歯の歯並びと奥歯の咬み合わせの矯正治療も受けられます。多くの治療実績があるプラチナプロバイダーに認定されている歯科医院なので、安心して治療を任せられます。
| 所在地 | 岡山県岡山市北区野田屋町1-11-1 グレースタワー1F |
|---|---|
| アクセス | JR山陽本線/「岡山駅」より徒歩7分 |
| マウスピース矯正の費用 | ・インビザライン・ライト:475,000円(税込) ・インビザライン・フル / インビザライン・コンプリヘンシブ:855,000円(税込) ・インビザライン・モデレート:755,000円 (税込) |
| 問い合わせ TEL |
086-201-2994 |
| 診療時間 | 月曜・火曜・木曜・金曜:9:00~13:00、14:00~18:00、土曜:9:00~13:00、14:00~16:30(休診日:水曜・日曜・祝日) |
| 公式サイト URL |
https://okayama-grandental.jp/ |
土日祝日も診療が受けられる矯正専門の歯科医院です。院内はバリアフリーで子どもが通院しやすいようにキッズルームや子ども用トイレなどの設備も用意されています。マルチブラケットによる治療や外科矯正のほか、インビザラインを用いたマウスピース矯正にも対応。子どもの矯正治療では早期治療用マウスピースを使って咬み合わせを改善するなど、患者の要望に応えられる治療法を提案してくれます。
| 所在地 | 岡山県岡山市北区青江5-1-1 ライフプラザ青江3F |
|---|---|
| アクセス | 岡電バス「青江西バス停」より徒歩約1分 |
| マウスピース矯正の費用 | 880,000円~990,000円(税込) |
| 問い合わせ TEL |
086-234-6480 |
| 診療時間 | 火曜:13:30~19:30、水曜・木曜・金曜:13:00~19:00、土曜・祝日:10:00~17:30、日曜:10:00~17:00(休診日:月曜) |
| 公式サイト URL |
https://www.tai-ortho.com/ |
岡山駅から徒歩2分と交通の便がいい岡山矯正歯科は、子どもから大人まで治療が受けられる矯正専門の歯科医院です。岡山矯正歯科で採用しているマウスピース型矯正装置は、「インビザライン」と「エンジェルアライナー」の2種類。子どもの矯正治療でもマウスピース矯正の治療が受けられます。遠隔診療システム(デンタルモニタリング)を併用すれば、通院回数を減らして治療を継続することが可能です。
| 所在地 | 岡山県岡山市北区奉還町1-2-3 せかんどゆーす西口 1F西 |
|---|---|
| アクセス | JR「岡山駅」より徒歩2分 |
| マウスピース矯正の費用 | 大人の矯正825,000円(税込)、子どもの矯正550,000円(税込) |
| 問い合わせ TEL |
086-253-7755 |
| 診療時間 | 月曜・火曜・木曜・金曜:10:00〜13:00、14:30〜18:30、土曜・日曜:10:00〜13:00、14:00〜17:00(休診日:水曜・日曜) |
| 公式サイト URL |
https://okayama-ortho.com/ |
うえき矯正歯科は「正しい咬合獲得と審美性回復」を掲げている矯正専門の歯科医院です。高性能デジタル機器・CAD/CAMシステムで精度の高いマウスピース(アライナー)を作成してマウスピース矯正治療を行うほか、技術的に難しいとされる舌側矯正治療の実績が豊富なことで知られています。子どもの矯正治療では、咬み合わせの改善だけでなく骨格のバランスを改善する治療も受けることができます。
| 所在地 | 岡山県岡山市中区円山76-1 |
|---|---|
| アクセス | 両備バス「自動車学校入口」より徒歩1分 |
| マウスピース矯正の費用 | 495,000円~748,000円(税込) |
| 問い合わせ TEL |
086-277-0202 |
| 診療時間 | 月曜〜土曜:09:00~12:30、15:00~18:30(休診日:水曜) |
| 公式サイト URL |
https://www.ueki-doc.com/ |
患者もスタッフも「心からの笑顔」になれるような歯の治療をしていくというモットーを大切にしているさながわ歯科クリニック。小さなお子さんが怖がって治療できないときにも心を開いてくれるまで根気強く寄り添ってくれます。大人の矯正治療はマウスピース矯正やワイヤー矯正、インプラント矯正など、個々の状況に合わせて治療法を選択してくれます。
| 所在地 | 岡山県岡山市中区倉田691-25 |
|---|---|
| アクセス | 「倉田北バス停」より徒歩5分(車でのアクセス:バイパス倉田から北へ倉田北右折300メートル) |
| マウスピース矯正の費用 | 825,000円~(税込) |
| 問い合わせ TEL |
086-200-3737 |
| 診療時間 | 月曜・火曜・水曜・金曜:9:30~12:30、14:30~17:45、土曜:9:30~12:30、14:00~17:00(休診日:木曜・日曜・祝日) |
| 公式サイト URL |
https://sanagawa-dental.com/ |
「患者さんに笑顔と健康を提供する歯科医院になりましょう」という理念のもと、一般歯科から成人矯正、小児歯科および小児矯正、審美歯科など、総合的に口腔内のトラブルを解決し、かかわった患者さんたちの「歯の健康寿命」を延ばすことを目指して日々診療している歯科医院です。光学式スキャナー・iTeroやプライムスキャンなど最新の医療設備を整え、インビザラインによるマウスピース型矯正装置での治療を行っています。
| 所在地 | 岡山県岡山市北区津島西坂1-1-27 |
|---|---|
| アクセス | JR「岡山駅」より車で約10分 |
| マウスピース矯正の費用 | インビザライン770,000円~935,000円(税込) |
| 問い合わせ TEL |
086-214-0505 |
| 診療時間 | 月曜・火曜・水曜・金曜・土曜:9:00~13:00、14:30~18:00、木曜:9:00~13:00、14:30~17:00(休診日:日曜・祝日) |
| 公式サイト URL |
https://www.maeda0505.com/ |
厚生労働省より臨床研修施設として認定されている岡山筒井歯科クリニックは、痛みに配慮した治療、一緒に歯のことを考えていく治療をスローガンに掲げています。マウスピース矯正では「アソアライナー」を採用、日本顎咬合学会 咬み合わせ認定医ほか多数の認定医資格を有する筒井院長による、やさしく丁寧な治療が受けられます。
| 所在地 | 岡山県岡山市北区東島田町1-9-1 |
|---|---|
| アクセス | JR「岡山駅」東口より徒歩10分 |
| マウスピース矯正の費用 | 411,400円〜(税込) |
| 問い合わせ TEL |
086-225-5500 |
| 診療時間 | 平日:9:00~13:00、14:30~18:30、土曜:9:00~13:00、14:00~18:00(日曜・祝日) |
| 公式サイト URL |
https://www.tdcj.co.jp/ |
目の前に大きな公園があり、明るい院内が印象的な矯正歯科BOSCO。歯並びがよくなり咬み合わせが改善されることで、表情も変わるだけでなく暮らしそのものが変わるというメリットがあるといいます。矯正相談や精密検査にじっくりと時間をかけ、マウスピース型矯正装置やマルチブラケット矯正装置などを用いた矯正治療を行います。
| 所在地 | 岡山県岡山市北区津島南1-1-2 |
|---|---|
| アクセス | JR「岡山駅」から岡電・中鉄バスへ乗り換え、「岡電バス停」で降車 |
| マウスピース矯正の費用 | インビザライン880,000円〜1,100,000円(税込) |
| 問い合わせ TEL |
086-253-8020 |
| 診療時間 | 平日:11:00~18:00、土曜:11:00~17:00(休診日:不定休) |
| 公式サイト URL |
https://www.ortho-bosco.com/ |
子どもの歯科診療がメインの北長瀬こども矯正歯科には小児歯科のほか、赤ちゃん歯科、子ども矯正歯科、マタニティ歯科、スペシャルニーズ歯科といったほかの歯科医院にはない診療科が用意されています。マウスピース矯正では、Myobrace(MRC)、インビザライン、プレオルソ、ムーシールドなど複数の選択肢が用意されています。子ども達が笑顔で帰ることのできる、楽しく通いやすい小児歯科を目指しています。
| 所在地 | 岡山県岡山市北区中仙道1-19-18 |
|---|---|
| アクセス | ・電車:山陽本線「北長瀬駅」南口より南へ徒歩8分 ・車:岡山市立西小学校正門より北へすぐ、「北長瀬駅」より南へ3分 |
| マウスピース矯正の費用 | 公式サイトに記載がありませんでした。 |
| 問い合わせ TEL |
086-239-8110 |
| 診療時間 | 平日・土曜:9:00~12:00、13:00~18:00(休診日:日曜) |
| 公式サイト URL |
https://kitanagase-kids.com/ |
むし歯・歯周病予防に効果を発揮する高機能な医療機器「エアフロープロフィラキシス マスター」なども導入し、予防歯科に力を入れている吉崎歯科は、さまざまな口腔内の悩みを解決してくれる総合歯科。矯正治療ではマウスピース矯正装置を中心に、部分矯正にも対応しています。また、小児矯正ではマウスピース型の矯正装置「プレオルソ」を用いた治療を行っています。
| 所在地 | 岡山県岡山市東区瀬戸町瀬戸78-5 |
|---|---|
| アクセス | JR山陽本線「瀬戸駅」より徒歩5分、山陽自動車道「山陽IC」車5分 |
| マウスピース矯正の費用 | プレオルソ(小児)88,000~330,000円(税込) |
| 問い合わせ TEL |
086-952-0313 |
| 診療時間 | 月曜・火曜・水曜・金曜・土曜:9:00~12:00、13:30~17:00(休診日:木曜・日曜・祝日) |
| 公式サイト URL |
https://www.yoshizaki-dental.com/ |
岡山市中区湊に開院して40年以上、父子二代で地域医療を支えてきたくろせ歯科クリニック。一般歯科から矯正歯科、審美歯科、マタニティ歯科、小児歯科など家族全員を診てもらえる総合歯科クリニックです。マウスピース型矯正装置では大人はインビザライン、子どもはムーシールドを用いた治療が受けられます。足腰が不自由でも通いやすいようにイス式階段昇降機も完備。院内は土足OKです。
| 所在地 | 岡山県岡山市中区湊381-48 |
|---|---|
| アクセス | 岡山西大寺線「池の内東」よりバス停下車後、徒歩約1分 |
| マウスピース矯正の費用 | 公式サイトに記載がありませんでした |
| 問い合わせ TEL |
086-277-8362 |
| 診療時間 | 月曜・火曜・水曜・金曜:9:00~12:30、15:00~18:30、土曜:9:00~12:30、15:00~17:30(休診日:木曜・日曜・祝日) |
| 公式サイト URL |
https://kuroseshika-okayama.com/ |
患者のみなさんの毎日が「はれのひ」になるようサポートすることを信条としているはれのひデンタルクリニック。プライバシーに配慮した個室の診療室や家族で入室できるファミリー診療室も用意されています。矯正治療ではマウスピース型矯正装置・インビザラインを用いた治療や部分矯正、ブラケット矯正など状態に合わせて治療法を選択します。天井モニターの設置など小さなお子さんが通いやすいさまざまな工夫もされています。
| 所在地 | 岡山県岡山市北区高松原古才2-11 |
|---|---|
| アクセス | JR吉備線「備中高松駅」より徒歩10分 |
| マウスピース矯正の費用 | インビザライン990,000円(税込) |
| 問い合わせ TEL |
086-287-9350 |
| 診療時間 | 月曜・火曜・木曜・金曜・土曜:9:00~12:30、14:30~18:00(休診日:水曜・日曜・祝日) |
| 公式サイト URL |
https://harenohi-dental-clinic.com/ |
2階にはテラスもありハワイを感じるような明るく開放的な院内が印象的なALOHAごうだ歯科は、ごうだ歯科グループ4つめの歯科医院として、2023年3月に岡山市南区新保で開院。キッズスペースだけでなく、保育士が2名常駐しているため、小さなお子さん連れでも安心して治療が受けられます。マウスピース型矯正では、インビザラインを採用しています。
| 所在地 | 岡山県岡山市南区新保661-1 |
|---|---|
| アクセス | JR宇野線「備前西市駅」より徒歩10分、JR宇野線(宇野みなと線)「備前西市駅」より車3分、JR宇野線(宇野みなと線)「大元駅」より車8分、「山陽本線岡山駅」より車15分 |
| マウスピース矯正の費用 | インビザライン396,000円(税込)または891,000円(税込)、小児473,000円(税込) |
| 問い合わせ TEL |
086-363-1881 |
| 診療時間 | 月曜・火曜・木曜・金曜:9:00~12:30、14:30~19:00、土曜:9:00~12:30、14:00~16:00(休診日:水曜・日曜・祝日) |
| 公式サイト URL |
https://gouda-aloha-dental.com/ |
歯を削らない審美治療「スーパーエナメル療法」とインビザラインによる矯正治療を組み合わせる治療法を提案している船橋歯科医院。矯正治療後にスーパーエナメルを貼る場合は、割引が受けられます。この複合治療はヨーロッパの矯正歯科学会でベストアワードを受賞するなど高評価。小児矯正もインビザラインのほか、T4K、プレオルソ、EFラインなど複数のマウスピース型矯正装置が用意されています。
| 所在地 | 岡山県岡山市北区三門中町1-7 |
|---|---|
| アクセス | ・電車:JR吉備線「備前三門」駅より徒歩5分 ・バス:中鉄バス「三門二丁目バス停留所」より下車後、徒歩1分 |
| マウスピース矯正の費用 | ・インビザラインi7:176,000円(税込) ・インビザラインライト:341,000円(税込) ・インビザラインモデレート:605,000円(税込) ・インビザラインフル:825,000円(税込) ・エクスプレスパック:176,000円(税込) ・ライトパック:341,000円(税込) ・モデレートパック:638,000円(税込) ・コンプリヘンシブパック:858,000円(税込) |
| 問い合わせ TEL |
086-252-2512 |
| 診療時間 | 月曜・火曜・水曜・金曜:9:30~12:30、15:00~18:30、木曜・土曜:9:30~12:00のみ予約可(休診日:日曜・祝日) |
| 公式サイト URL |
https://www.funahashi-shika.com/ |
一般歯科や矯正治療だけでなく審美修復治療やいびき治療など日々の生活での悩みを解決してくれるならづ歯科・矯正歯科。マウスピース型矯正装置では、インビザラインもしくはクリアコレクト用いて治療します。また、子どもの矯正では、マウスピース型矯正装置プレオルソもしくはT4Kというマウスピースを導入。矯正後2年間、無料で再矯正を受けることができます。
| 所在地 | 岡山県岡山市北区楢津1036-1 |
|---|---|
| アクセス | 中鉄バス「緑ヶ丘団地入口」より徒歩2分 |
| マウスピース矯正の費用 | 子どもの矯正治療194,700円〜638,000円(税込)、おとなの矯正治療715,000円(税込) |
| 問い合わせ TEL |
086-806-5972 |
| 診療時間 | 火曜・水曜・木曜:9:00~12:00、14:00~18:00、土曜・日曜:9:30~12:00、13:00~17:00(休診日:月曜・金曜・祝日、月曜が祝日の場合は金曜診療) |
| 公式サイト URL |
https://www.narazu-shika.com/ |
来院するすべての患者に予防の重要性を伝え、生涯にわたり健康な口内環境を維持ししてもらうことをミッションとしているわかさハーモニー歯科。子どもに歯医者さんを好きになってもらうためハーモニーキッズクラブを作り、定期検診やフッ素塗布などを提案しています。矯正治療では「ギャラクシーアライン」というマウスピース型矯正装置を採用。小児矯正では「プレオルソ」というマウスピース型矯正装置で治療が受けられます。
| 所在地 | 岡山県岡山市北区平野534-15 |
|---|---|
| アクセス | JR山陽本線『庭瀬駅』より徒歩13分・タクシー5分、岡電バス・中鉄バス・両備バス「木工センター前停留所」下車 |
| マウスピース矯正の費用 | 大人385,000円~660,000円(税込)、子ども(プレオルソ)154,000円(税込) |
| 問い合わせ TEL |
086-903-3677 |
| 診療時間 | 月曜・火曜・水曜・金曜:9:00~13:00、15:00~19:00、土曜:9:00~12:30、14:00~17:00(休診日:木曜・日曜・祝日) |
| 公式サイト URL |
https://harmony-dent.com/ |
みやき歯科クリニックでは、シュアスマイルとインビザラインの2種から選べるマウスピース矯正を採用。治療期間や対応できる症例に応じて柔軟に選択できるのが特徴です。さらに、CTやセファロを備えた診断体制により、顔全体の骨格バランスを考慮した矯正計画を立案。北長瀬駅から徒歩5分、平日夜や土曜も診療可能で、忙しい方でも通いやすい環境が整っています。
| 所在地 | 岡山県岡山市北区北長瀬表町3-7-2 マーガレットテラス 1F |
|---|---|
| アクセス | JR山陽本線「北長瀬」駅より徒歩5分 |
| マウスピース矯正の費用 | 公式サイトに記載がありませんでした |
| 問い合わせ TEL |
086-236-7317 |
| 診療時間 | 月曜・火曜・水曜・金曜:9:00~12:30、14:30~19:00、土曜:9:00~12:30、14:30~17:00(休診日:木曜・日曜・祝日) |
| 公式サイト URL |
https://www.miyaki-dental.com/ |
岡山スマイル歯科小児歯科医院では、口腔内スキャナーiTeroを活用したデジタル精密検査により、透明で目立ちにくいマウスピース矯正に対応しています。矯正開始前にはシミュレーションで仕上がりの予測も確認できるため、安心して治療に臨めます。矯正の痛みが不安な方や短期間での改善を希望する方にも適しており、診療室は個室仕様、キッズスペース完備で通いやすさも魅力です。
| 所在地 | 岡山県岡山市北区下石井1-2-1 イオンモール岡山6F |
|---|---|
| アクセス | 山陽自動車道「岡山IC」より車で15分、「JR岡山駅」より地下道直結 徒歩5分 |
| マウスピース矯正の費用 | 両顎/片顎 440,000円(税込) |
| 問い合わせ TEL |
086-238-2440 |
| 診療時間 | 月曜・火曜・水曜・木曜・金曜:10:00~20:00、土曜・日曜・祝日:10:00~19:00(休診日:年中無休) |
| 公式サイト URL |
https://www.kajiwara-shika.jp/clinic/okayama/ |
てらかど矯正歯科では、インビザラインを中心としたマウスピース矯正に対応。3Dスキャナで精密な診断を行い、シミュレーションを提示した上で治療が進みます。医師は日本矯正歯科学会所属の専門家で、経験豊富。院内には子ども連れにも配慮したキッズスペースがあり、家族で通いやすい環境が整っています。
| 所在地 | 岡山県岡山市北区中山下1-1 グレースタワーⅢ 2F |
|---|---|
| アクセス | JR「岡山駅」より徒歩7分 |
| マウスピース矯正の費用 | ・Ⅱ期治療440,000~550,000円(税込) ・本格治療770,000~990,000円(税込) ・部分治療110,000~440,000円(税込) ※マウスピース治療の本格治療、部分治療は上記ワイヤー矯正の基本治療費の150~200% |
| 問い合わせ TEL |
086-801-2772 |
| 診療時間 | 火曜・水曜・金曜:10:00~12:00、15:00~19:00、土曜・日曜:9:00~12:00、15:00~18:00(休診日:月曜・木曜・祝日) |
| 公式サイト URL |
https://www.smileaid.com/index.html |
矯正治療の一環として、KAM Dental OKAYAMAではマウスピース矯正(インビザライン)を導入しています。iTeroによる精密スキャンとシミュレーションを活用し、歯並びの変化を事前に確認できるのが特徴です。また、光加速装置による治療期間の短縮にも対応。咬み合わせや補綴の専門性も備えた総合的な診療体制が整っており、複数の治療を組み合わせた提案も受けられます。
| 所在地 | 岡山県岡山市北区本町7-25 Qbe本町2F |
|---|---|
| アクセス | JR「岡山駅」より徒歩5分 |
| マウスピース矯正の費用 |
・インビザライン(両顎ライト):50万円(税不明) ・インビザライン(モデレート):70万円(税不明) ・インビザライン(コンプリヘンシブ):90万円(税不明) ・インビザラインファースト(1期):55万円(税不明) ・インビザラインファースト(2期):44万円(税不明) |
| 問い合わせ TEL |
公式サイトに記載がありませんでした ※LINE:https://line.me/R/ti/p/@488senot?oat_content=url&ts=06181128 |
| 診療時間 | 月曜~土曜10:00~17:00(休診日:日曜・祝日) |
| 公式サイト URL |
https://www.kam-dental-okayama.com/ |
目立ちにくいポリウレタン製のマウスピースを使用した矯正治療を提供しており、金属アレルギーのある方でも安心して利用できるのが特徴です。小児矯正にも対応しており、床矯正装置を用いた早期介入によって、負担を抑えた治療が可能。予約の取りやすさや待ち時間の短さにも配慮されており、スムーズに通院を継続しやすい環境が整っています。
| 所在地 | 岡山県岡山市北区西辛川267-2 |
|---|---|
| アクセス | JR「備前一宮駅」より徒歩2分 |
| マウスピース矯正の費用 | ・インビザライン:66万円(税込) ・小児矯正用 床矯正:3万3,000円~11万円(税込) |
| 問い合わせ TEL |
086-286-0648 |
| 診療時間 | 月曜・水曜・木曜・土曜 9:30~12:30/16:00~20:00 日曜 9:30~12:30/13:30~16:00 (休診日:火曜・金曜・祝日) |
| 公式サイト URL |
https://morikawadental.com/ |
あかりデンタルクリニックでは、CAD/CAMシステムによる3Dデータを活用した「シュアスマイル・アライナー」を導入。歯や骨の構造までデジタル化し、治療前にゴールの共有ができる点が特長です。子ども向けにはMFT(口腔筋機能療法)と併用した矯正プランも提案しており、夜間装着型の装置で日常生活への影響を抑えながら進められます。大人から子どもまで、それぞれのニーズに合わせた矯正治療が行える医院です。
| 所在地 | 岡山県岡山市北区西辛川657-1 |
|---|---|
| アクセス | 吉備線「吉備津駅」より徒歩12分 |
| マウスピース矯正の費用 | ・シュアスマイル・アライナー:40~100万円(税込) ・マイオブレース(小児用):11万円(税込)/年 |
| 問い合わせ TEL |
086-959-4701 |
| 診療時間 | 09:00~12:30/15:00~18:30 (休診日:木曜・日曜・祝日) |
| 公式サイト URL |
https://akari-dentalclinic.jp/ |
かたやま矯正歯科クリニックでは、症例に応じてインビザラインとワイヤー矯正を組み合わせる治療を提案しています。見た目だけでなく咬み合わせなど機能面まで考慮したアプローチが特徴で、2006年の国内導入から間もない2012年にはインビザラインを導入済み。13年以上の実績をもとに、適応の可否を丁寧に見極めながら進めてくれる医院です。患者の理解を重視し、希望に応じた柔軟な対応も行っています。
| 所在地 | 岡山県岡山市北区清心町1-24 |
|---|---|
| アクセス | JR「岡山駅」より徒歩7分 |
| マウスピース矯正の費用 | ・インビザライン(前歯の矯正):29.7万円(税込) ・インビザライン(全体矯正)72.6万円(税込) ・処置料:2,200~6,600円(税込)/回 |
| 問い合わせ TEL |
0120-77-4618 |
| 診療時間 | 平日 10:00~19:00/土日祝 9:00~18:00 (休診日:木曜) |
| 公式サイト URL |
http://www.katayama-ortho.com/ |
前歯の歯並びに特化したマウスピース矯正を導入している福田歯科クリニック口腔外科では、インビザライン Goを用いた治療を提供しています。奥歯を除く20本の歯を対象に、すきっ歯や前歯のデコボコなどを整えることができ、全体矯正よりも短期間・低価格で始めやすいのが特長です。治療前にはシミュレーション画像で仕上がりの歯並びを確認でき、納得したうえでスタートできる点も安心感につながっています。
| 所在地 | 岡山県岡山市中区中島190-1 |
|---|---|
| アクセス | JR高島駅より徒歩9分 |
| マウスピース矯正の費用 | 437,800円(税不明) |
| 問い合わせ TEL |
086-275-5618 |
| 診療時間 | 9:00~13:00/14:00~17:30(休診日:木曜・日曜・祝日午後※祝日午前は不定休) |
| 公式サイト URL |
https://www.fukudadental.jp/ |
インビザラインによるマウスピース矯正に対応しており、装置は透明で目立ちにくく、取り外し可能な点が特徴です。田口歯科・矯正歯科クリニックでは、初診時に顔貌・口腔内の写真撮影やレントゲン検査などを行い、一人ひとりに合わせた治療計画を丁寧に作成。金属を使わない装置で、痛みや違和感を抑えながら段階的に歯並びを整えていきます。
| 所在地 | 岡山県岡山市北区津倉町1-4-7 |
|---|---|
| アクセス | JR岡山駅より徒歩16分 |
| マウスピース矯正の費用 | 公式サイトに記載がありませんでした |
| 問い合わせ TEL |
086-214-3393 |
| 診療時間 | 月曜・火曜・水曜・金曜:9:00~12:30/14:30~18:30 土曜:9:00~12:30/14:00~17:00 (休診日:木曜・日曜・祝日※祝日のある週の木曜は診療日) |
| 公式サイト URL |
https://www.taguchi-dc.jp/ |
かやはら歯科・小児歯科では、マイオブレースを活用したマウスピース型の小児矯正を取り入れています。装置の装着に加えて、呼吸や舌、唇の使い方を整えるアクティビティを通じて、歯並びの乱れの原因となる習癖の改善を図ります。院内には専用のトレーニングルームが設けられ、子どもが楽しみながら通える環境を整備。保護者の疑問や不安にもきめ細かく応じてもらえます。
| 所在地 | 岡山県岡山市北区白石279-3 |
|---|---|
| アクセス | JR北長瀬駅より車で9分
岡電バス「花尻入口」停留所より徒歩4分 |
| マウスピース矯正の費用 | ・精密検査:3,000円(税込)
・基本治療費:240,000円(税込) ・拡大装置:55,000円/1個(税込) ・調整費:3,300円/月 |
| 問い合わせ
TEL |
086-236-9118 |
| 診療時間 | 平日 9:00~13:00/14:15~18:00
土曜9:00~13:00/14:00〜17:00(休診日:水曜・日曜・祝日) |
| 公式サイト
URL |
https://www.kayahara-dc.com/ |
タクトファミリーデンタルクリニックは、目立ちにくく取り外し可能なインビザラインを導入し、通院回数を抑え、日常生活への負担を軽減できるのが魅力です。プラスチック製アライナーで見た目も自然で、食事中のストレスもなし。小児のマウスピース矯正にも対応しており、早期治療で安定した歯並びを目指せると同時に、ワイヤーや床矯正も視野に入れて、ライフスタイルに合わせた複数選択肢から最適な治療法を提案してくれます。
| 所在地 | 岡山県岡山市南区泉田397-11 |
|---|---|
| アクセス | JR宇野線「備前西市駅」より徒歩18分 ※車で5分(国道30号経由) |
| マウスピース矯正の費用 | 公式サイトに記載がありませんでした |
| 問い合わせ TEL |
086-244-4618 |
| 診療時間 | 平日 9:00~12:30 / 14:00~18:00 土曜 9:00~12:00 / 13:30~16:30 (休診日:日曜、木曜(不定)、祝日、毎月1日) |
| 公式サイト URL |
https://tact-dc.com/index.html |
若い方から高齢の方まで年齢を問わず、虫歯・歯周病予防のためのマウスピース矯正治療を受けられる歯科医院です。「インビザラインGO」と「リアコレクトシステム」を採用しています。院内は木の温もりを感じられるリッチな設計で、ほのかな香りが心を和ませます。開放的なテラスもあり、外の空気を感じながらひと息つける空間です。
| 所在地 | 岡山県岡山市中区湊1362-3 |
|---|---|
| アクセス | 【路線バス】 岡山西大寺線「東山峠駅」より徒歩10分 操南台団地線「操陽団地駅」より徒歩4分 |
| マウスピース矯正の費用 | 30万円~49万5,000円(税込) |
| 問い合わせ TEL |
086-277-2771 |
| 診療時間 | 火曜~土曜9:00~17:00 ※12:00~13:00は昼休み |
| 公式サイト URL |
https://www.hilltopdent.com/ |
ワイヤー装置やマウスピース型矯正装置を用いた治療に対応しています。治療前にはセファログラムを用いて、顔全体の骨格をチェック。顔のバランスに合った歯並びを提案しています。
なお、小児・成人の矯正治療が可能ですが、矯正診療日は毎月第3・4日曜のみ。そのため、受診前に公式HP内の診療カレンダーを確認しておきましょう。
| 所在地 | 岡山県岡山市中区関157-1 |
|---|---|
| アクセス | 宇野バス「兼基東」停留所から徒歩2分 |
| マウスピース矯正の費用 | ・検査・診断料:38,500円(税込) ・装置料:825,000円(税込) ・調整料:4,400円(税込) ・便宜抜歯:5,500円(税込) |
| 問い合わせ TEL |
086-230-1818 |
| 診療時間 | 月火木金 9:30~13:30/14:30~18:30 土 9:00~12:30/13:30~16:30(水曜、日曜、祝日) ※矯正の診療日は「第3日曜」または「第4日曜」 |
| 公式サイト URL |
https://www.liebedc.com/ |
矯正歯科と一般歯科の知識や技術を活かし、機能的にも審美的にも長持ちする歯科治療を行います。アライナーという透明なマウスピース型カスタムメイド矯正装置を採用。入念に作成した治療計画に基づいて、少しずつ歯を動かします。治療を無理なく継続するため、月々払いでの治療も可能です。
| 所在地 | 岡山県岡山市東区西大寺上2-9-26 |
|---|---|
| アクセス | JR西大寺駅より徒歩30秒 |
| マウスピース矯正の費用 | マウスピース矯正フル:880,000円(税込) マウスピース矯正部分:330,000円~(税込) |
| 問い合わせ TEL |
086-201-1898 |
| 診療時間 | 9:00~18:30(休診日:木曜・日曜・祝日 ※祝日週は木曜営業) |
| 公式サイト URL |
https://kakuzan-dental.com/ |
マウスピース矯正「プレオルソ」に対応。家にいるときや就寝中に装着すれば良いため、子どもへの負担が少ないのがメリットです。
プレオルソは10歳くらいまでの子どもが対象ですが、原尾島歯科では4~5歳くらいまでは虫歯にならないような先延ばしの治療を行い、「歯医者嫌い」にならないよう工夫。本格的な治療は4~5歳になってから開始します。
| 所在地 | 岡山県岡山市中区原尾島3-1 1F |
|---|---|
| アクセス | 両備バス 旭川荘行き「原尾島1丁目前」下車 徒歩3分、岡電バス 藤原団地行き「浜中区役所前」下車 徒歩2分 |
| マウスピース矯正の費用 | 99,000円(税不明)※他、調整料・MFT指導料として1,100円(税不明)/月 |
| 問い合わせ TEL |
086-272-6480 |
| 診療時間 | 平日9:30~13:00/14:30~18:30※土曜は17時まで(木曜、日曜、祝日は定休) |
| 公式サイト URL |
https://haraojimasika.net/index.html |
マウスピース矯正に対応している岡山市の矯正歯科医院をニーズ別に紹介しています。適切な歯科医院を選択して、効果的な歯科矯正を行いましょう。

マウスピース矯正を検討している方にとって、費用は大きな要素です。岡山市には、リーズナブルな料金でマウスピース矯正を受けられる歯科医院がいくつか存在します。費用対効果を重視したい方におすすめの歯科医院をここでご紹介します。

歯並びの中でも特に気になる前歯だけのマウスピース矯正を扱っている歯科医院をご紹介。
短期間で効果的に見た目を改善することができるため、忙しい方にもピッタリです。治療の詳細や実績を知りたい方は、ぜひこちらの医院情報をチェックしてください。
高い治療費がかかるマウスピース矯正は失敗したくないもの。ここでは、後悔しない治療のための歯科医院の選び方を解説します。

マウスピース矯正と一口にいっても、歯科医院によって得意とする治療が異なります。
抜歯が必要な重度の歯並びなのか、前歯だけの一部の歯並びなのか、大人の矯正ではなく子どもの矯正なのかによっても選ぶべき歯科医院がかわります。

多数の症例数があること公式HPに記載しつつ、実際は豊富な実績のある医師は歯科医院にほぼおらず、担当医は別の医師、というケースもあるのが実情です。
実績数だけで判断せずに、どの医師の治療を受けられるのかを確認するようにしましょう。
マウスピース矯正でよく聞く「インビザライン」。その中でも、細かく種類が分かれており、症状に応じて選ぶと費用が安く済む可能性もあるのです。
また、最近ではインビザラインだけでなく、様々な種類のマウスピース矯正が登場。
ここでは、代表的なマウスピース矯正の種類をご紹介します。
左右にスクロールできます
| 名称 | 対応症例 | 治療期間 | 特徴 |
|---|---|---|---|
| インビザライン・ゴー | 軽度〜中等度 | 約3〜6か月 | 前歯の部分矯正向け。 枚数20枚まで。 |
| インビザライン・ライト | 軽度〜中等度 | 約4〜7か月 | 枚数14枚まで。 軽めの全体矯正向け。 |
| インビザライン・モデレート | 中等度 | 約6〜12か月 | 最大26枚。 やや複雑な症例にも対応。 |
| インビザライン・コンプリヘンシブ | 軽度〜重度 | 約1〜2年(最長5年) | 枚数・回数無制限。 重度にも対応。 |
| インビザライン・ファースト (子ども向け) |
軽度〜中等度 | 約6か月〜1年 | 成長期の矯正。 6〜10歳が対象。 |
| インビザライン・ティーン (10代向け) |
軽度〜重度 | 約1〜2年 | 若年層向け設計。 管理しやすい工夫。 |
| SmaRtee (スマイルティー/スマティー) |
軽度〜重度 | 約3か月~2年 | 費用が比較的安価で、インビザラインに近い治療計画が可能 |
| キレイライン矯正 | 軽度〜中等度 | 約5か月〜1年 | 低価格で始められ、若年層に人気 |
岡山市でインビザライン矯正を検討中の方向けに、治療プランや費用が明確な10院を紹介。
主に全体矯正(フル)プランを中心に、料金相場や設備、医師の資格なども詳しく掲載。
比較しながら自分に合う医院を選べます。
「Smartee(スマーティー)」は、中国発のマウスピース矯正システムで、前歯の部分矯正から全体矯正まで対応が可能。
岡山市では、キレイハ岡山院がこのシステムを導入しており、治療回数に応じた明確な料金設定が特徴です。
費用を抑えつつ、信頼性の高い矯正治療を希望する方に適しています。
クリアコレクト(ClearCorrect)は、スイスのストローマングループが提供する透明なマウスピース型矯正装置で、目立ちにくく取り外し可能な点が特徴です。
岡山市内では、KAM Dental OKAYAMAやならづ歯科・矯正歯科など複数の歯科医院で導入されており、費用や治療スタイル、設備などが医院ごとに異なります。
キレイライン矯正は、透明マウスピースによる日本発の部分矯正で、前歯の見た目改善に特化。治療回数ごとの明確な料金設定と、短期間・低コストでの矯正が特徴。
岡山市内では「医療法人優志会 ミナト歯科クリニック」「医療法人社団 康樹会 おおうら歯科クリニック」など複数の提携医院で受診可能です。
アソアライナーは日本製の透明マウスピース矯正で、軽度な前歯の乱れや後戻り治療に適しています。
岡山市では「つだ矯正歯科クリニック」などで導入されており、国内製造のため納品が早く、短期間かつ低コストでの矯正が可能。厚みの異なる装置を段階的に使うため歯に優しく、忙しい大人にも人気です。
このサイトでは、岡山市にあるマウスピース矯正に対応対応している41院の中から院長がマウスピース矯正の治療をしてくれる医院を厳選し、「部分矯正」「全顎矯正」「小児矯正」の目的別におすすめの歯科院を3院を紹介しています。ぜひ参考にしてください。
マウスピースで矯正できる症例には複数あります。
状態によってはマウスピース矯正が難しい場合もあるので、事前に確認しておくことがおすすめです。